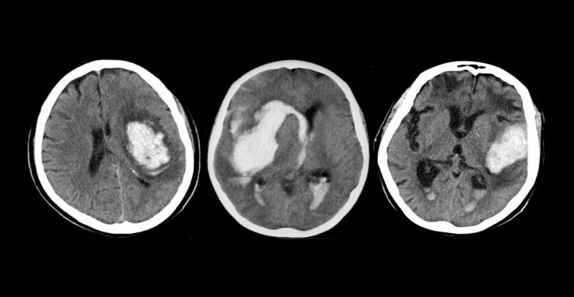
Un derrame cerebral es un evento en el que un vaso sanguíneo del cerebro se rompe y sangra dentro, aumentando la presión en el cráneo, causando inflamación del tejido cerebral y dañando las células. Se necesita atención médica de emergencia.
Pero recientemente un equipo médico de Australia logró desarrollar un algoritmo para predecir cuando el paciente experimentará una hemorragia cerebral. Esto le da a los médicos hasta 20 minutos antes para intervenir.

Predecir hemorragias cerebrales
El Centro de Supercomputación de Pawsey es una instalación nacional de computación de alto rendimiento que está en Perth, en Australia Occidental. Esta super computadora ha sido utilizada para correr algoritmos que pueden, por ejemplo, rapear estrellas o incluso predecir patrones climáticos.
Investigadores del Royal Perth Hospital, Alfred Hospital y Royal Melbourne Hospital se unieron para desarrollar un algoritmo único en su tipo que puede predecir cuando un paciente se enfrentará a una hemorragia cerebral inminente.
Pero no crean que lograr esto fue sencillo. Se usaron más de 40 mil horas de datos de pacientes para crearlo y ahora el personal médico tiene hasta 20 minutos de ventaja para intervenir en el paciente.

Y s que si una hemorragia cerebral no se trata a tiempo, las lesiones cerebrales pueden llevar a los pacientes a la muerte o a dejarlos con lesiones graves que tienen como consecuencia una discapacidad.
Los médicos de los hospitales participantes afirman que esos minutos que tienen de ventaja pueden ser la diferencia entre la vida y la muerte.
Ahora trabajan en perfeccionar el algoritmo para que eventualmente pueda ser usado en hospitales de Australia, contribuyendo a salvar vidas. Este avance es importantísimo.

