Es poco lo que sabemos del clítoris, aunque es súper importante porque su única función es dar placer. Sí, a las mujeres y personas con vulva. Y esto nos dice un montón del por qué este órgano no ha sido estudiado como otros, pero bueno, regresemos a la parte central de esta nota porque, ¿qué creen? Un estudio reveló que este órgano tiene miles de fibras más de lo que se pensaba.
Y eso quiere decir que el clítoris es aún más sensible. Esta info la sabemos por una investigación realizada por la Facultad de Medicina de la Universidad de Ciencias y Salud de Oregón en Estados Unidos, publicada el 27 de octubre.

Y aunque falta que otros pares le echen un buen ojo a este reporte, los resultados arrojaron que el clítoris humano tiene más de 10 mil fibras nerviosas o un 20% más de lo que se sabía —el dato que tiene el mundo 100tífiko es que este órgano tiene 8 mil fibras nerviosas, pero no hay un documento que lo avale con datos fehacientes. De hecho, esa cifra fue propuesta a partir del análisis de los clítoris de vacas a finales de la década de los 70.
El clítoris
Ya les contamos que el clítoris está hecho para dar placer. Pero acá van más detalles, sólo para no perdernos en lo que avanzamos en el texto:
Este órgano es muy pequeño, comparado con otros. Está ubicado justo en la unión de los labios menores en la vagina. Y su estructura está tanto al interior como al exterior de la vulva.

Por ejemplo, lo que vemos al exterior del cuerpo (una puntita) es sólo el glande. Es como si fuera la punta de un iceberg y, ¡qué iceberg! Porque todo el órgano cuando es estimulado puede aumentar hasta tres veces su tamaño —tomando en cuenta que la parte interna de este órgano mide alrededor de 10 centímetros y el glande entre 3 y 4 milímetros.
El clítoris también es visto por los/las especialistas como un símil del pene. Ambos tienen una estructura similar —y en los momentos de estimulación el clítoris, al igual que el pene, actúa como una esponja que se llena de sangre.

Sólo que el clítoris —hasta donde la ciencia sabe— está dedicado a brindar placer y el pene, pues no, tiene otras tareas.
Ahora, regresemos a esta investigación: este descubrimiento sirve entre otras cosas, además de aportar información relevante para conocer el funcionamiento y la naturaleza del clítoris, para ayudar en el diagnóstico y tratamiento de lesiones nerviosas o ayudar en los procedimientos u operaciones cerca de los genitales.
Más fibras, más sensible
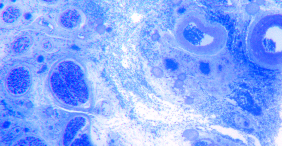
El equipo de investigación llegó a estos resultados después de analizar el tejido de los dos nervios dorsales del clítoris —que son conjuntos de fibras nerviosas que transmiten señales sensoriales al cerebro.
Y resulta que estos nervios tenían entre 4 mil 926 y 5 mil 543 fibras nerviosas cada una —algo así como una media de 5 mil 140 fibras.

Como son simétricos, por lo tanto el clítoris tiene alrededor de 10 mil 280 fibras nerviosas que hacen todavía más sensitivo a este órgano del placer.
Blair Peters, integrante de este equipo de investigación, estudia los nervios del clítoris para mejorar los resultados de la faloplastia —dedicada a la construcción de un pene para pacientes transmasculinos.
Y bueno estos resultados servirán para seleccionar mejor los nervios y conectarlos durante la operación.
Es por ello que en este 2022 estamos conociendo otro poco más del maravilloso clítoris. Si quieren echarle un ojo a la investigación completa ——bajo la autoría de Blair Peters, Maria Uloko de la University of California San Diego, E. Paige Isabey, de la Universidad de Manotoba, Matthew D. Wood y Daniel A. Hunter de la Universidad de Washington— AQUÍ les dejamos el enlace.
O si quieren saber más del clítoris y por qué rayos no sabemos mucho de este órgano, ACÁ hay info.

