Al momento los efectos del COVID-19 en el cuerpo humano y sus secuelas siguen sin estar muy claras del todo para la ciencia. Hemos escuchado de daño pulmonar después del coronavirus, de inestabilidad en la presión, pérdida del gusto por tiempo indefinido y ahora nos enteramos de un caso en que un linfoma de Hodgkin prácticamente desapareció tras el COVID-19.
El cáncer se origina en el cuerpo humano cuando las células crecen sin control y sobrepasan en número a las células normales. Los linfomas son cánceres que comienzan en los glóbulos blancos llamados linfocitos. El sistema linfático es la parte de nuestro sistema inmune que nos ayuda a combatir infecciones y otras amenazas, además de ayudar a controlar la circulación de líquidos en el cuerpo.
Justo el sistema linfático está compuesto por linfocitos, principalmente, un tipo de glóbulo blanco. Es en estas células donde comienzan los linfomas: de Hodgkin o no Hogking.
Debido a que hay tejido linfático en muchas partes del cuerpo, el linfoma de Hodgkin puede comenzar en casi todo el cuerpo, pero las principales localizaciones son los ganglios linfáticos, vasos linfáticos y el bazo.

¿El COVID curó esta enfermedad?
Recientemente se publicó un estudio en la British Journal of Hematology, revista médica de Reino Unido, sobre el caso de un hombre al que se le diagnostico linfoma de Hodgkin en fase 3.
El varón de 61 años tenía inflamación en los ganglios y pérdida de peso, además de que recibía hemodiálisis por insuficiencia renal terminal después de que se le realizara un trasplante renal fallido. Poco tiempo después del diagnóstico de cáncer, el paciente se infectó de COVID-19 e ingresó al hospital por dificultad respiratoria y con neumonía.

11 días después de estar internado, fue dado de alta para terminar de recuperarse en casa y el estudio especifica que en ese momento no le administraron corticosteroides ni inmunoquimioterapia, para tratar el linfoma.
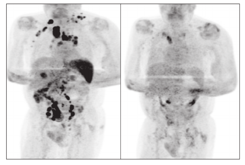
Sorpresivamente cuatro meses después, cuando le tocaba una revisión por el padecimiento de linfoma, los médicos notaron que la inflamación de los ganglios había reducido considerablemente y gracias a una exploración PET, una tomografía por emisión de positrones, se dieron cuenta que había una remisión generalizada del linfoma.
¿Qué pasó?
Hasta el momento la principal hipótesis, que sigue en investigación, señala que efectivamente el virus SARS-CoV-2 curó el linfoma.
A grandes rasgos, la infección por COVID-19 desencadenó una respuesta inmunitaria antitumoral. Las citocinas inflamatorias (un grupo de proteínas que actual como reguladoras de las respuestas inmunitaria e inflamatoria) que se produjeron en el cuerpo como respuesta a la infección de coronavirus podrían haber activado células T específicas con antígenos tumorales y células que mataron naturalmente el tumor.


