Tal vez cuando lean esta nota se acuerden de ‘Los Otros’ —la peli de Alejandro Amenábar que cuenta la historia de una familia que vive recluida en un caserón, donde los niños no pueden salir por una enfermedad llamada fotosensibilidad—, pero se trata de un descubrimiento que ha permitido acercarnos un poco más a la historia europea y la importancia de la vitamina D. Todo a partir del análisis de una momia del siglo XVI.
O más bien del hallazgo del cuerpo de un niño momificado en una de las criptas de los condes de Starhemberg, una de las familias de la aristocracia austriaca más antiguas.

Su análisis reveló las consecuencias de huir del Sol —en aquella época, las familias de la aristocracia creían que entre más blancas eran, o entre más blanca tenían la piel, pues mejor. Por esta razón evitaban asolearse. Y eso que aún no estaba averiada la capa de ozono y no se sabía de los rayos ultravioletas.
La historia de una momia del siglo XVI
Esta investigación corrió a cargo de especialistas de la Clínica Académica Munich-Bogenhausen, del Departamento de Arte y Conservación del Patrimonio de la Diócesis de Linz, del Laboratorio Leibniz y del Instituto de Medicina Legal de la Universidad Ludwig-Maximilian o la Universidad de Munich.
Este equipo analizó el cuerpo de un niño —de casi dos años de edad— momificado en el siglo XVI, en Austria. Se creía que la causa de la muerte había sido por falta de vitamina C.

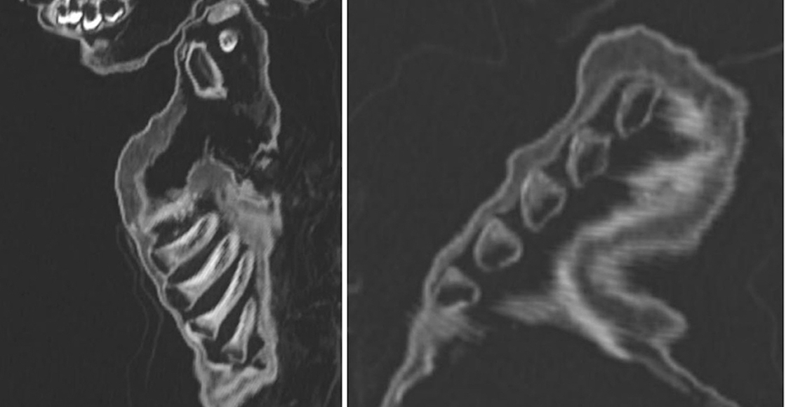
¿Cómo llegaron a esa primera conclusión? Antes de este análisis, ya habían hecho una autopsia al cuerpo del niño por malformaciones en las costillas.
Justo este fue el elemento que hizo que pensaran que el niño había muerto por desnutrición o raquitismo —debilitamiento de los huesos— a falta de vitamina C.
Pero llegó otro análisis, esta vez del tejido adiposo que arrojó pruebas de que el niño nunca enfrentó problemas de alimentación. Es más, que estaba bien alimentado en comparación a otros bebés de su época —el niño murió entre 1550 y 1635.
El Sol y la vitamina D
El equipo pensó en otra hipótesis y comenzó a hacer más estudios hasta llegar al examen de pulmones.
Con los resultados en mano, se dieron cuenta de que el bebé había padecido de neumonía –una letal— y que suele estar relacionada con la deficiencia de vitamina D en los niños.

Así que esta neumonía más el debilitamiento de los huesos y el buen peso del niño, los llevaron a la vitamina D. Y, ¿de qué manera podía faltar esta vitamina en aquella época?
La respuesta está en el Sol. El astro es una buena fuente de vitamina D para el desarrollo de los huesos.
Con estos datos, la investigación concluyó que el niño de la familia de los condes de Starhemberg murió por la falta de vitamina D, obtenida mediante los rayos del Sol —que pues hoy en día hay que medir el agua a los camotes a su exposición por aquello de que la radiación ultravioleta está cada vez más cañona.

Todo esto también está relacionado con la creencia de la vieja aristocracia de Austria de que ser blanco era la onda del universo, sobre todo para mantener un “estatus” —cosas ya más relacionadas con el colorismo y que rayan en discriminaciones o estereotipos.
Si quieren revisar esta investigación (‘Adipositas y trastorno óseo metabólico en una momia de una cripta infantil de la Alta Austria del siglo XVI: una visión paleopatológica interdisciplinaria de la vida aristocrática histórica’) publicada en Frontiers in Medicine, ACÁ les dejamos el enlace.

