Lo que necesitas saber:
Un gusano que encontraron en el cerebro de una mujer le provocó diarrea, depresión y pérdida de la memoria.
¿Conocen a Pepe Grillo, la conciencia de Pinocho? Pueees algo así… Médicos dieron a conocer que encontraron un gusano parasitario vivo dentro del cerebro de una mujer en Australia. Sí, de acuerdo con los expertos, este cochino bicho medía unos ocho centímetros de largo.
Un gusano vivo dentro del cerebro de una mujer
Según un estudio que se publicó en la revista Emerging Infectious Diseases, un equipo de médicos halló un horrible gusano vivo dentro del cerebro de una mujer que acudió a un hospital de Canberra, en Australia.
Sí, de acuerdo con la investigación, en 2022, la neurocirujana Hari Priya Bandi estaba investigando los misteriosos síntomas de una mujer de 64 años de edad, quien sufría de diarrea, tos seca, dolor abdominal, sudoración nocturna, pérdida de la memoria y hasta depresión, entre otros signos.

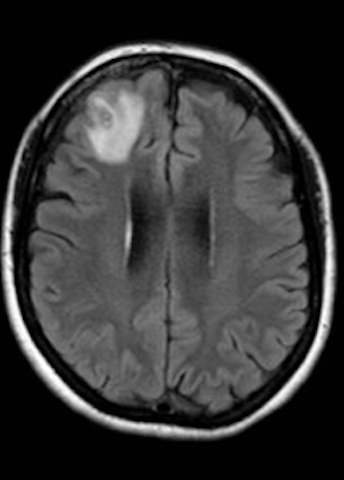
Y es que en un inicio, los doctores buscaban un posible tumor o incluso cáncer, o al menos eso dice el médico infectólogo Sanjaya Senanayake, coautor del estudio, a DW: “Esta paciente había sido tratada por una enfermedad misteriosa que, en última instancia, pensamos que era una afección inmunológica porque no habíamos sido capaces de encontrar un parásito y, de la nada, apareció este gran bulto en la parte frontal de su cerebro“.
¿Qué clase de gusano era?
La neurocirujana Hari Priya Bandi cuenta a detalle cómo encontró y extrajo el gusano vivo que estaba dentro del cerebro de la mujer: “Usé pinzas para sujetar tumores y saqué algo que definitivamente no esperaba: un cordel lineal y serpenteante. Y el médico asistente dijo: ‘¿Es una arteria?’, porque eso es lo que parecía. Pero yo le dije: ‘No es una arteria. No estamos cerca de ninguna arteria’. Y me di cuenta de que se movía e inmediatamente dije, ‘por favor, ¡sácalo de mis pinzas!’. Así que lo pusimos rápidamente en un recipiente de patología y era un gusano que se movía vigorosamente“.

De acuerdo con los expertos, el bicho era la larva de un gusano parasitario originario de Australia llamado Ophidascaris robertsi, el cual suele encontrarse en serpientes o en pitones, no en humanos… hasta ahora.
Como este parásito se movía dentro de la cabeza de la mujer, le producía síntomas pulmonares, hepáticos y abdominales, e incluso depresivos.
¿Cómo llegó a la cabeza de la mujer australiana?
Los médicos y expertos explicaron que los huevos de estos gusanos suelen salir de las popos de las serpientes y contaminan las hierbas que consumen los pequeños mamíferos.
El ciclo de estos parásitos sigue cuando otras serpientes se comen a estos mamíferos.

Pues resulta ser que la mujer vive cerca del hábitat de las pitones alfombra y solía recoger cierta clase de vegetación australiana para cocinar. A pesar de que no tuvo contacto directo con las serpientes, la hipótesis de los médicos es que comió los huevos de la vegetación o de sus manos contaminadas.
Lo bueno de todo esto es que extrajeron el gusano vivo del cerebro de la mujer, quien recuperó la consciencia tras la operación y sin ninguna consecuencia negativa gracias a medicamentos antiparasitarios.

