¡Tutti Frutti tiene un Newsletter! Además del podcast de todos los lunes, Sopitas escribe un mail que manda todos los jueves donde encontrarás textos como éste. Suscríbete en 3 segundos poniendo tu mail en el cuadro de aquí:


Un estudio realizado por el neurocirujano Jesús Martín-Fernández, del Hospital Universitario Nuestra Señora de la Candelaria de Santa Cruz de Tenerife levantó toda clase de reacciones y un tanto de desinformación, pero ¿qué significa este estudio?

Debemos partir del hecho de que el estudio no tiene un fin científico, sino que es parte de la tesis doctoral del neurocirujano Jesús Martín-Fernández, quién estudia por primera vez el efecto de los distintos tipos de música en la activación de las regiones cerebrales relacionadas con las acciones auditivas y motoras.

Para la investigación se seleccionaron a 28 personas que no tenían ningún tipo de formación musical previa, con gustos musicales variados y una media de edad de 26 años.

Lo primero que les hicieron fue revisar su capacidad auditiva y después les hicieron una resonancia magnética funcional, mientras escuchaban diferentes melodías de distintos géneros. Algo que vale la pena destacar es que a todas las canciones se les quitó la letra.

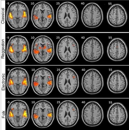
Por último, los investigadores analizaron anatómicamente el cerebro de cada participante mediante una herramienta que denominan la señal BOLD, que consiste en ver las áreas del cerebro que necesitan más oxígeno (que es lo que sucede cuando se activan) y a través de un software las fueron coloreando dependiendo de la intensidad que presentaran.

Como veremos en la imagen compartida por el estudio, la música electrónica y el folk también generan una considerable actividad cerebral. La pregunta aquí es ¿dónde quedó el rock?

¿Qué significa esto? Ciertamente el resultado de este estudio no quiere decir que un género sea mejor que el otro (o viceversa), tampoco te hace más inteligente o interesante escuchar un tipo de música sobre el otro. Lo único que hace es medir la actividad cerebral y lo importante de esto es que abre la puerta a un mayor análisis sobre cómo es que la música funciona en nuestro cerebro, con sus respectivos riesgos y beneficios.

¿El mayor riesgo que veo? Sin lugar a dudas, que este tipo de análisis puede dar pie a la creación de música con la certeza de lo que hará en nuestros cerebros. Una especie de manipulación en la que los “artistas” simplemente tendrían que componer los ritmos que marca el cerebro, para sembrarlos en el inconscientemente colectivo sin darnos cuenta. ¿Black Mirror, eres tú?


Esta semana en Tutti Frutti:

Todo lo que no sabías que necesitas saber lo encuentras en Sopitas.com

Fundé Sopitas como hobby y terminó siendo el trabajo de mis sueños. Emprendedor, amante de la música, los deportes, la comida y tecnología. También comparto rolas, noticias y chisma en programas...

Comentarios

Comenta con tu cuenta de Facebook